Hodgkin lymphoma

schedule An Appointment
Lymphoma - Hodgkin; Hodgkin disease; Hodgkin lymphoma; Hodgkin's lymphoma

Definition

Hodgkin lymphoma is a cancer of lymph tissue. Lymph tissue is found in the lymph nodes, spleen, liver, bone marrow, and other sites.

Causes

The cause of Hodgkin lymphoma is not known. Hodgkin lymphoma is most common among people 15 to 35 years old and those 55 and older. Past infection with the Epstein-Barr virus (EBV) is thought to contribute to some cases. People with HIV infection are at increased risk compared to the general population.

Symptoms

The first sign of Hodgkin lymphoma is often a painless swollen lymph node that appears without a known cause. The disease can spread to nearby lymph nodes. Later it may spread to the spleen, liver, bone marrow, or other organs.

Symptoms may include any of the following:

  • Feeling tired all the time
  • Fever and chills that come and go
  • Itching all over the body that cannot be explained
  • Loss of appetite
  • Drenching night sweats
  • Painless swelling of the lymph nodes in the neck, armpits, or groin (swollen glands)
  • Weight loss that cannot be explained

Other symptoms that may occur with this disease:

  • Coughing, chest pains, or breathing problems if there are swollen lymph nodes in the chest
  • Excessive sweating
  • Pain or feeling of fullness below the ribs due to swollen spleen or liver
  • Pain in lymph nodes after drinking alcohol
  • Skin blushing or flushing

Symptoms caused by Hodgkin lymphoma may occur with other conditions. Talk to your health care provider about the meaning of your specific symptoms.

Exams and Tests

Your provider will perform a physical exam and check body areas with lymph nodes to feel if they are swollen.

Hodgkin's disease - liver involvement

The disease is diagnosed based on a biopsy of abnormal tissue, usually a lymph node.

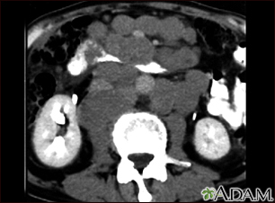
Lymphoma, malignant - CT scan

The following procedures will usually be done:

If tests show that you have Hodgkin lymphoma, more tests may be done to see how far the cancer has spread. This is called staging. Staging helps guide treatment and follow-up.

Treatment

Treatment depends on the following:

  • The type of Hodgkin lymphoma
  • The stage (where the disease has spread)
  • Your age and other medical issues
  • Other factors, including whether you have weight loss, night sweats, and fever

You may receive chemotherapy, radiation therapy, chemoimmunotherapy, chemoradiation therapy, or a combination of all therapies. Your provider can tell you more about your specific treatment.

High-dose chemotherapy may be given when Hodgkin lymphoma returns after treatment or does not respond to the first treatment. This is followed by a stem cell transplant that uses your own stem cells.

Blood transfusions or platelet transfusions may be required if blood counts are low.

You and your provider may need to manage other concerns during your lymphoma treatment, including:

Support Groups

You can ease the stress of illness by joining a cancer support group. Sharing with others who have common experiences can help you not feel alone.

Outlook (Prognosis)

Hodgkin lymphoma is one of the most curable cancers. A cure is even more likely if it is diagnosed and treated early. Unlike many other cancers, Hodgkin lymphoma is also very curable in its late stages.

You will need to have regular exams for years after your treatment. This helps your provider check for signs of the cancer returning and for any long-term treatment effects.

Possible Complications

Treatments for Hodgkin lymphoma can have complications. Long-term complications of chemotherapy or radiation therapy include:

  • Bone marrow diseases (such as leukemia)
  • Heart disease
  • Inability to have children (infertility)
  • Lung problems
  • Other cancers
  • Thyroid problems

Keep following up with a provider who knows about monitoring and preventing these complications.

When to Contact a Medical Professional

Contact your provider if:

  • You have symptoms of Hodgkin lymphoma
  • You have Hodgkin lymphoma and you have side effects from the treatment

References

Bartlett N, Triska G. Hodgkin lymphoma. In: Niederhuber JE, Armitage JO, Kastan MB, Doroshow JH, Tepper JE, eds. Abeloff's Clinical Oncology. 6th ed. Philadelphia, PA: Elsevier; 2020:chap 102.

Connors JM, Savage KJ. Hodgkin lymphoma. In: Goldman L, Cooney KA, eds. Goldman-Cecil Medicine. 27th ed. Philadelphia, PA: Elsevier; 2024:chap 172.

National Cancer Institute website. Hodgkin lymphoma treatment (PDQ) - health professional version. www.cancer.gov/types/lymphoma/hp/adult-hodgkin-treatment-pdq. Updated February 12, 2025. Accessed April 3, 2025.

National Cancer Institute website. Childhood Hodgkin lymphoma treatment (PDQ) - health professional version. www.cancer.gov/types/lymphoma/hp/child-hodgkin-treatment-pdq. Updated October 11, 2024. Accessed February 10, 2025.

National Comprehensive Cancer Network website. NCCN clinical practice guidelines in oncology: Hodgkin lymphoma. Version 2.2025. www.nccn.org/professionals/physician_gls/pdf/hodgkins.pdf. Updated January 30, 2025. Accessed February 10, 2025.

Schedule An Appointment

Review Date: 2/3/2025

Reviewed By: Warren Brenner, MD, Oncologist, Lynn Cancer Institute, Boca Raton, FL. Review provided by VeriMed Healthcare Network. Also reviewed by David C. Dugdale, MD, Medical Director, Brenda Conaway, Editorial Director, and the A.D.A.M. Editorial team.


The information provided herein should not be used during any medical emergency or for the diagnosis or treatment of any medical condition. A licensed medical professional should be consulted for diagnosis and treatment of any and all medical conditions. Links to other sites are provided for information only -- they do not constitute endorsements of those other sites. No warranty of any kind, either expressed or implied, is made as to the accuracy, reliability, timeliness, or correctness of any translations made by a third-party service of the information provided herein into any other language. © 1997- A.D.A.M., a business unit of Ebix, Inc. Any duplication or distribution of the information contained herein is strictly prohibited.

A.D.A.M. content is best viewed in IE9 or above, Fire Fox and Google Chrome browser.